פוסט זה מיועד לבחורות ששוקלות אם להשתמש בגלולות למניעת הריון!
יותר מ-150 מיליון נשים ברחבי העולם משתמשות באמצעי מניעה דרך הפה (OCs) המורכבים מהורמונים סינתטיים.
על פי הערכות 2 מתוך 5 נערות מתבגרות בארצות הברית מקיימות יחסי מין בין הגילאים 15-19. הרוב המכריע משתמש באמצעי מניעה – קונדומים במיוחד. מבין אלו המשתמשות באמצעי מניעה, כמעט 5% משתמשים באמצעי מניעה הורמונליים. מוצרים אלה נרשמים גם לטיפול באקנה ובמחזורים כבדים.
למרות הפופולריות של הגלולות למניעת הריון, לא ידוע הרבה על האופן שבו הן משפיעות על המוח וההתנהגות של בני נוער. גיל ההתבגרות הוא תקופה לא נחקרת באופן מכריע של שינוי מוחי דרמטי ושינוי הורמונלי דרמטי שממש לא הבנו.
כמו בכל תרופה גם לגלולות יש תופעות לוואי. רובן קשורות למערכת ההורמונלית, כמו ירידה בצפיפות עצם, מחלות לב, קרישי דם, חולשת שרירים, בעיות תפקוד מיני, מיגרנות, עודף משקל, שינויים במצב הרוח, זיהום קנדידה, דיכאונות ואפילו סרטן.
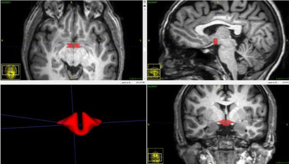
- לפי מחקר פיילוט אחרון ישנו פוטנציאל לבעיה נוספת שאולי תהווה מקור נוסף להחלטה אם כן או לא לצרוך אותן.המחקר הוצג בדצמבר 2019 בכנס השנתי של Radiological Society of North America.
ובמחקר ראו ש..
גלולות למניעת הריון גורמות לירידה בנפח של ההיפותלמוס במוח.
על פי החוקרים זהו המחקר הראשון שבדק את ההשפעות של אמצעי מניעה אוראליים על מבנה ההיפותלמוס האנושי ושמצא שלנשים הנוטלות גלולות למניעת הריון נפח ההיפותלמוס קטן משמעותית לעומת אלו שלא לקחו את הגלולות. מחקר ראשוני זה מראה קשר חזק ואמור להניע חקירה נוספת לגבי ההשפעות של אמצעי מניעה אוראליים על מבנה המוח והשפעתם הפוטנציאלית על תפקוד המוח.
החוקרים מסבירים שההיפותלמוס אחראי בין היתר על תיאבון, מצבי רוח, טמפרטורת גוף, תבניות שינה, חשק מיני, דופק לב וכמו כן מעורב בתהליכי ייצור של הורמונים חיוניים. כמו כן נמצא שהיפותלמוס קטן קשור למצבי דיכאון וגם התקפי זעם.
דיכאון הוא הגורם המוביל לבריאות לקויה ולמוגבלות. יותר מ-264 מיליון אנשים נפגעים ולפחות 25% מכלל הנשים ו-15% מכלל הגברים חווים דיכאון הדורש טיפול בשלב מסוים במהלך חייהם. ולכן נשאלת השאלה האם זה שווה את האפשרות הזו?
- *** תוספת נובמבר 22
מחקר חדש בחולדות צעירות קושר את ההורמונים הסינתטיים המצויים בגלולות, מדבקות וזריקות למניעת הריון עם העברת אותות מופרעת בין תאים בקליפת המוח הקדם-מצחית, אזור במוח שממשיך להתפתח לאורך גיל ההתבגרות. בהשוואה לחולדות בקרה, אלה שקיבלו אמצעי מניעה הורמונליים ייצרו גם רמות גבוהות יותר של הורמון הסטרס קורטיקוסטרון, הדומה לקורטיזול בבני אדם.
המחקר הוצג במפגש השנתי של החברה למדעי המוח בנובמבר Neuroscience 2022.
החוקרים מאוניברסיטת אוהיו סטייט בחרו לבחון את הקשר בין גלולות לשינויים בקליפת המוח הקדם-מצחית, אזור שבו מצב הרוח מווסת, מכיוון שכמה מחקרים קודמים קשרו שימוש מוקדם של מתבגרים באמצעי מניעה הורמונליים עם סיכון לדיכאון בבגרות.
לכל נערה כמובן יש את הזכות לבחור על גופה רק חשוב לעשות את הבחירות בצורה מושכלת ולהבין את הייתכנות של השלכות הגלולות, כלומר אם יש סיכונים, אז זה משהו שצריך לפקח עליו.
החוקרים נתנו שילוב של אסטרוגן סינתטי ופרוגסטרון המצוי בדרך כלל באמצעי מניעה הורמונליים לחולדות נקבות במשך שלושה שבועות החל כחודש לאחר לידתם, גיל שווה ערך לגיל ההתבגרות המוקדם בבני אדם. חוקרים אישרו כי התרופות שיבשו את מחזור הרבייה של החיות ומסבירים שמוצרי מניעה אלה פועלים על ידי עצירת השחלות מלייצר הורמונים ברמות הנחוצות ליצירת ביציות והופכות את רירית הרחם לבלתי מסבירת פנים עבור השתלת ביצית.
דגימות דם הראו שהחולדות המטופלות מייצרות יותר קורטיקוסטרון מאשר חיות לא מטופלות, סימן שהן לחוצות. וגם אחרי התאוששות מלחץ ממקור חיצוני, רמת הקורטיקוסטרון של החולדות המטופלות נותרה גבוהה. בלוטות האדרנל שלהם היו גם גדולות יותר, מה שמרמז על כך שייצור הורמוני הלחץ שלהם היה גבוה באופן עקבי מזה של חיות הביקורת.
ניתוח של סמני הפעלת גנים בקליפת המוח הקדם-מצחית של החולדות הראה ירידה בסינפסות מעוררות באזור זה של מוחם של חולדות שטופלו בהשוואה לבקרות, אך ללא שינוי בסינפסות מעכבות – תופעה שעלולה ליצור חוסר איזון של דפוסי איתות נורמליים. לגרום לשינוי בהתנהגות.
אובדן של סינפסות מעוררות בלבד בקליפת המוח הקדם-מצחית נקשר לחשיפה למתח כרוני ודיכאון במחקרים קודמים.
https://news.osu.edu/how-hormonal-birth-control-may-affect-the-adolescent-brain/
*** הערה שלי – כל אדם שגופו נתון תחת הורמוני סטרס לאורך זמן ייתכנו גם השפעות מטבוליות ואולי זה גם מסביר מדוע בחורות שלוקחות גלולות נוטות יותר לפתח השמנה ולימים גם סוכרת ומחלות לב וכלי דם. - *** תוספת יוני 23
נשים שהשתמשו בגלולות משולבות למניעת הריון היו בסיכון גבוה יותר לפתח דיכאון מאשר נשים שלא, כך עולה ממחקר חדש של אוניברסיטת Uppsala.
המחקר שפורסם ביוני 23 בג'ורנל Epidemiology and Psychiatric Sciences מצא שגלולות למניעת הריון העלו את הסיכון לדיכאון ב-73% במהלך השנתיים הראשונות לשימוש.
על פי החוקרים האפשרות שלגלולות למניעת הריון עשויות להיות השפעות שליליות על בריאות הנפש ואף להוביל לדיכאון נידונה זמן רב. למרות שנשים רבות בוחרות להפסיק להשתמש בגלולות למניעת הריון בגלל ההשפעה על מצב הרוח שלהן, עד כה התמונה העולה מהמחקר לא הייתה ברורה. מחקר זה הוא אחד הגדולים והרחבים ביותר עד כה, שעקב אחרי יותר מרבע מיליון נשים מהביובנק הבריטי מלידה ועד גיל המעבר.
החוקרים אספו נתונים על השימוש של נשים בגלולות למניעת הריון, המועד שבו אובחנו לראשונה עם דיכאון ומתי חוו לראשונה תסמינים של דיכאון מבלי שקיבלו אבחנה.
אמצעי המניעה שנחקרו הייתה גלולות משולבות למניעת הריון, שהן גם הסוג הנפוץ ביותר והמכילות נגזרות סינתטיות של אסטרוגן ופרוגסטרון. הפרוגסטוגן מונע ביוץ ומעבה את ריר צוואר הרחם כדי למנוע מהזרעונים לחדור לרחם והאסטרוגן מדלל את רירית הרחם כדי לעכב השתלת ביצית מופרית.
לפי החוקרים, לנשים שהחלו להשתמש בגלולות למניעת הריון בגיל ההתבגרות הייתה שכיחות גבוהה יותר ב-130% של תסמיני דיכאון, בעוד שהעלייה המקבילה בקרב משתמשות בוגרות הייתה 92%.
ההשפעה החזקה של גלולות למניעת הריון על בני נוער יכולה להיות מיוחסת לשינויים ההורמונליים הנגרמים על ידי גיל ההתבגרות. מכיוון שנשים בקבוצת גיל זו כבר חוות שינויים הורמונליים מהותיים, התוספת הזו יכולה עוד להוסיף עניינים רגשים.
החוקרים גם ראו שהשכיחות המוגברת של דיכאון ירדה כאשר הנשים המשיכו להשתמש בגלולות למניעת הריון לאחר השנתיים הראשונות. עם זאת, למשתמשים בגיל העשרה בגלולות למניעת הריון עדיין הייתה שכיחות מוגברת של דיכאון גם לאחר הפסקת השימוש בגלולה, מה שלא נצפתה אצל משתמשים בוגרים בגלולות למניעת הריון.
ממצאי המחקר מצביעים על צורך של אנשי מקצוע בתחום הבריאות להיות מודעים יותר לקשרים אפשריים בין מערכות שונות בגוף, כמו דיכאון ושימוש בגלולות למניעת הריון. החוקרים מסכמים כי חשוב למטפלים ליידע נשים ששוקלות להשתמש בגלולות למניעת הריון על הסיכון הפוטנציאלי לדיכאון כתופעת לוואי של התרופה.
https://www.uu.se/en/news/article/?id=20830&typ=artikel&lang=en - *** תוספת יולי 23
חוקרים מאוניברסיטת Aarhus חקרו את תגובת הלחץ של 131 נשים צעירות (גיל ממוצע 20.5). חלקן נטלו גלולות למניעת הריון, בעוד שאחרות לא. החוקרים מדדו במיוחד את רמות הורמון הסטרס ACTH, המווסת רמות הקורטיזול.
המחקר הראה כי 15 דקות של פעילות חברתית הורידה את רמות הורמוני הלחץ בנשים שאינן נוטלות גלולות למניעת הריון. לעומת זאת, נשים שנטלו גלולות לא חוו כל ירידה ברמות ה-ACTH שלהן.
הממצאים פורסמו במהדורת אוגוסט בג'ורנל Behavioural Brain Research
החוקרים מסבירים שכדי להימנע מגרימת לחץ נוסף לנבדקות, הוכנס צנתר קטן תוך ורידי בדגימת הדם הראשונה. החוקרים יכלו לאחר מכן לשאוב דם מבלי שיאלצו לדקור את הנשים שוב במחט.
לאחר שנלקחה דגימת הדם, הם יכלו להשתתף באחת משש פעילויות קבוצתיות שונות, כגון משחקי קופסא, היכרות במפגש קבוצתי, שירים יחד או השתתפות בשירות בכנסייה. על פי החוקרים, להיות פעיל עם אנשים אחרים היא אחת הדרכים היעילות ביותר להפחתת מתח.
החוקרים מוסיפים שהמחקר הנוכחי שונה ממחקרים קודמים שהתמקדו בעיקר בהורמון הסטרס קורטיזול בנסיבות קיצוניות. במחקר זה כאמור מדדו החוקרים את הורמון הסטרס ACTH, המשתנה מהר יותר באופן משמעותי מקורטיזול. זה מאפשר לצפות ולנתח שינויים מהירים בתגובת הלחץ של האדם. על ידי בחינת רמות ACTH, ניתן להבין עוד יותר כיצד המוח מווסת את הלחץ שכן ACTH פועל כמוליך עצבי מהמוח לקליפת יותרת הכליה, אשר בתורה מייצרת קורטיזול. כלומר ניתן לקבל תובנות לגבי התגובה המכניסטית המהירה השולטת בתגובת הגוף לסטרס.
גלולות למניעת הריון ידועות כיכולות להשפיע על ציר: hypothalamic-pituitary-adrenal (HPA). כפי שהשם מעיד, אות הלחץ עובר מההיפותלמוס במוח דרך בלוטת יותרת המוח, המשחררת ACTH, אל בלוטות יותרת הכליה, המשחררות קורטיזול.
החוקרים עדיין זקוקים להסבר אחרון מדוע משתמשות בגלולות למניעת הריון אינן חוות את אותה ירידה ברמות הורמוני הלחץ בקשר לפעילויות חברתיות כמו אנשים שאינם נוטלים גלולות. ויש כמה השערות לכך והמחקר הנוכחי מוביל אותנו קרוב יותר להסבר שמתרכז במוח ובדינמיקה של ACTH. בסיס ההנחה הוא שגלולות למניעת הריון יכולות לדכא את ייצור הפרוגסטרון בגוף עצמו. הפרוגסטרון מתפרק להורמון אלופרגננולון, המעורב במגוון רחב של השפעות מרגיעות (למשל דרך וויסות GABA) ויכול להשפיע על תגובת הלחץ.
עוד המחקר גילה כי תגובת הלחץ אצל נשים שאינן נוטלות גלולות למניעת הריון היתה תלויה באיזה שלב הן נמצאות במחזור החודשי שלהן. לפעילויות הקבוצתיות לא הייתה השפעה על רמות ACTH של הנשים שהיו בשלב ההתרבות של המחזור שלהן (שלב בנית הרירית), אלא רק לאחר שהמחזור שלהן הסתיים והגוף התחיל לייצר הורמונים כדי להתחיל בביוץ. החוקרים מסבירים שרמות הפרוגסטרון נמוכות מאוד בשלב הזה דבר שמוביל להמרה מינימלית של פרוגסטרון לאלופרגננולון. ומכיוון שאלופרגננולון חשוב להפעלת הקולטנים המווסתים את תגובת הלחץ, לא נראית ירידה ב רמות ACTH בנשים עם מחזור טבעי שזה עתה קיבלו מחזור. לעומת זאת אצל נשים המשתמשות בגלולות למניעת הריון, תגובת הלחץ 'מנותקת', כלומר לא ניתן להסתגל לאותו מצב נתון.
https://dent.au.dk/en/display/artikel/ny-forskning-understreger-p-piller-paavirker-kroppens-evne-til-at-regulere-stress
מאמרים נוספים שמראים קשר בין שימוש בגלולות למניעת הריון עם מצבים רגשיים
https://pubmed.ncbi.nlm.nih.gov/27680324/
https://pubmed.ncbi.nlm.nih.gov/24287129/ - *** תוספת נובמבר 23 – גלולות למניעת הריון עלולות לפגוע באזורים המווסתים פחד במוח של נשים.
צוות חוקרים בקנדה בחן את ההשפעות של שימוש באמצעי מניעה אוראליים משולבים (COC) כמו גם את התפקיד של הורמוני המין המיוצרים על ידי הגוף על אזורי מוח הקשורים לפחד (המעגל העצבי שדרכו מעובד הפחד במוח).
הצוות גייס נשים שהשתמשו ב-COC; נשים שהשתמשו בעבר ב-COC אך לא בזמן המחקר; נשים שמעולם לא השתמשו בכל צורה של אמצעי מניעה הורמונליים; וגברים. השוואת קבוצות אלו אפשרה לחוקרים לראות אם השימוש ב-COC קשור לשינויים מורפולוגיים נוכחיים או ארוכי טווח, וכן לזהות הבדלים בין המינים.
הממצאים שלהם שפורסמו בנובמבר 23 בכתב העת Frontiers in Endocrinology הראו שעובי קליפת המוח הקדם-מצחית הגחונית-אמצעית (vmPFC) של נשים שהשתמשו ב-COC היה מופחת בהשוואה לגברים. חלק זה של קליפת המוח הקדם-מצחית נחשב כמקיים ויסות רגשות, כגון הפחתת אותות פחד בהקשר של מצב בטוח.
החוקרים מציינים שהתוצאה הזו עשויה להסביר מנגנון שבאמצעותו תרופות אלה עלולות לפגוע בוויסות הרגשות אצל נשים.
עם זאת, ההשפעות של שימוש ב-COC עשויות להיות הפיכות לאחר הפסקת הצריכה, מאחר והשפעת ה-vmPFC שנמצאה במשתמשים נוכחיים לא נצפתה במשתמשים קודמים, כלומר הממצאים לא תמכו בהשפעות אנטומיות מתמשכות של שימוש ב-COC, דבר שיצטרך לאשר במחקרים נוספים.
https://blog.frontiersin.org/2023/11/07/contraceptive-pills-fear-regulating-womens-brains/

- *** נובמבר 23 – שיבושים בתקשורת העצבית במוח
גם מדענים מאוניברסיטת Ohio State חוקרים כיצד הורמונים סינתטיים נפוצים המשמשים למניעת הריון משפיעים על קליפת המוח הקדם-מצחית, אזור במוח שממשיך להתפתח לאורך גיל ההתבגרות.
מכיוון שהורמונים סינתטיים באמצעי מניעה מדכאים את הייצור הטבעי של אסטרוגן ופרוגסטרון בשחלות, כדי למנוע ביוץ, צוות המחקר רצה לבחון כיצד ההבדלים ההורמונליים הללו משפיעים על המוח בזמן שהוא עדיין מתפתח.
במחקר שהוצג במפגש השנתי של החברה למדעי המוח (Neuroscience) בנובמבר 2023 החוקרים נתנו שילוב של אסטרוגן סינתטי ופרוגסטרון, שנמצא בדרך כלל באמצעי מניעה הורמונליים, לחולדות נקבות מגיל ההתבגרות המוקדמת ועד המאוחרת והשוו את התנהגותן ורקמת המוח שלהן לחולדות לא מטופלות. כמו כן הם בחנו אותן במשימות התנהגותיות על סף הבגרות.
המחקר התמקד במיאלינציה (היווצרות ציפוי מגן על אקסונים היוצאים מהגוף הראשי של תאי המוח) ובתאי חיסון הנקראים מיקרוגליה מכיוון שלשניהם יש תפקידים חיוניים בהתפתחות קליפת המוח הקדם-מצחית ובתקשורת בין תאים בפרט, שנשלטים בחלקם על ידי הורמונים טבעיים. החוקרים מסבירים שמיאלינציה מקלה על העברת אותות בין תאים, ולמיקרוגליה תפקיד קריטי בפיסול מעגלים במוח.
עוד החוקרים מסבירים שהתפתחות סינפטית ומיאלינציה מתרחשות במהלך ההתבגרות, תקופה שבה יש רגישות להתפרצות של הורמונים. אז הם חשבו שהפרעה של אותה פעילות הורמונלית בגיל ההתבגרות הרגילה עלולה לשנות את המסלול של חלק מהתהליכים ההתפתחותיים האלה. כמו כן בכל הקשור לתקשורת מערכת העצבים, חשוב לשמור על יציבות – יותר מדי או מעט מדי עלול להוביל לתפקוד לקוי שמשפיע על מצב הרוח וההתנהגות.
במחקר נתנו לחולדות אמצעי מניעה הורמונליים ברגע שהגיעו לגיל ההתבגרות ובמהלך גיל ההתבגרות,
החוקרים מצאו כי המיאלינציה, גדלה בחולדות שקיבלו אמצעי מניעה הורמונליים בהשוואה לחולדות שלא טופלו, בעוד שמספר תאי החיסון של המוח ירד. על פי החוקרים, הממצא הזה מרמז על שיבושים בתקשורת – במיוחד מכיוון שצוותי מחקר אחרים הציעו שמיקרוגליה מווסתת את המיאלינציה.
עוד מצא המחקר שבמבחני ההתנהגות, החולדות שטופלו בהורמונים הראו גם סימנים של אימפולסיביות. החוקרים מציינים שעד סוף גיל ההתבגרות, אימפולסיביות לא אמורה להיות דבר חשוב כל כך, אבל נראה שזה לא המקרה. החולדות שקיבלו אמצעי מניעה הורמונליים היו בסבירות גבוהה יותר מקבוצת הביקורת להישאר בחללים מוגבהים פתוחים לרווחה והסכימו לקבל פינוקים במסגרות לא מוכרות – דברים שנחשבים להתנהגות של נטילת סיכונים.
לטענת החוקרים זהו גם המחקר הראשון לזהות צורות סינתטיות של הורמונים אלה ברקמת המוח של החולדות המתבגרות. כלומר עכשיו יודעים שההורמונים האלה מגיעים למוח, דבר שמעולם לא נראה בגיל ההתבגרות.
טכניקת מעבדה רגישה הנקראת Liquid chromatography-mass spectrometry אישרה את נוכחות ההורמונים הסינטתיים ברקמת המוח – עדות רבת עוצמה שתנחה מחקר עתידי.
https://news.osu.edu/hormonal-contraceptives-in-teens-may-alter-risk-assessment - *** תוספת מרץ 24 – נטילת הורמונים מסוימים למניעת הריון במשך שנה או יותר קשורה לסיכון מוגבר לפתח גידול מוחי מנינגיומה.
מנינגיומה גידול תוך גולגולתי, המהווה 40% מהגידולים הראשוניים של מערכת העצבים המרכזית. זהו גידול שפירי, שצומח מהקרומים המקיפים את המוח וחוט השדרה, הוא עלול לפגוע במבנים אלו ובשלב מסויים יש לעבור הסרה כירורגית. הגידול משפיע על האזור עליו הוא יושב. זה יכול להיות כאב ראש, בעיות ראייה, פרכוסים ועוד.
פרוגסטוגנים הם תרופות הורמונליות סינתטיות המחקות את הורמון המין הטבעי פרוגסטרון. הם משמשים בעיקר במניעת הריון הורמונלית ובטיפול הורמונלי בגיל המעבר, לבד או בשילוב עם אסטרוגנים, הם ניתנים גם לטיפול במצבים כמו אנדומטריוזיס ותסמונת שחלות פוליציסטיות.
מחקר שפורסם בפברואר 24 בכתב העת thebmj בהובלת חוקרים צרפתים הוא הראשון ששייך את השימוש הממושך בפרוגסטוגנים מסוימים לסיכון מוגבר למנינגיומה.
אחת הסיבות שהחוקרים בחנו דווקא פרוגסטונים הוא ההמצאות של קולטני פרוגסטרון ביותר מ-60% מהמנינגיומות.
החוקרים בחנו נתונים של 108,366 נשים, 18,061 מהן עברו ניתוח מוח להסרת מנינגיומה תוך גולגולתית בין השנים 2009-2018. הנתונים נלקחו ממערכת הנתונים הלאומית הצרפתית (SNDS) וכל מקרה הותאם לחמש בקרות לשנת לידה ואזור מגורים. החוקרים בדקו את הקשר בין פרוגסטוגנים נבחרים לבין שכיחות מנינגיומה.
למרות שחלק מהפרוגסטוגנים שנחקרו נמצאים בשימוש בצרפת (פרוגסטון) או במדינות בודדות בלבד (מדרוגסטון), אחרים (פרוגסטרון, לבונורגסטרל, הידרוקסיפרוגסטרון ומדרוקסיפרוגסטרון) נמצאים בשימוש נרחב ברחבי העולם. מאמר זה השתמש בשמות המותגים הנפוצים ביותר, אך ייתכן שהוא אינו כולל את כולם.
לאחר שהתייחסו לגורמים בעלי פוטנציאל השפעה, החוקרים מצאו ששימוש ממושך – למשך שנה או יותר – של 150 מ"ג מדרוקסיפרוגסטרון אצטט (Depo-Provera) היה קשור לסיכון מוגבר של פי 5.6 למנינגיומה תוך גולגולתית הדורשת ניתוח. שימוש ממושך במדרוגסטון פומי (Colprone) במינון 5 מ"ג היה קשור לסיכון מוגבר של פי 4.1, ולפרומגסטון פומי (Surgestone) -0.125 מ"ג/0.5 מ"ג היה סיכון מוגבר של פי 2.7.
היה סיכון עודף לנשים שנטלו כלורמדינון אצטט (בלארה, ג'ינורל, לוטרן, פרוסטל), נומגסטרול אצטט (לוטניל, נאמיס, זואלי) וציפרוטרון אצטט, וזה לא מפתיע בהתחשב בכך שהם ידועים כמגבירים את הסיכון למנינגיומה.
מכיוון שמדרוקסיפרוגסטרון אצטאט מוערך בשימוש על ידי 74 מיליון נשים ברחבי העולם כאמצעי למניעת הריון, מספר המנינגיומות שניתן לייחס עשוי להיות גבוה.
https://www.eurekalert.org/news-releases/1038976
הנושא של אמצעי מניעה הוא ברור לחלוטין השאלה היא האם כשבחורה לוקחת אותן היא קיבלה גם את כל המידע על ההשלכות האפשריות ועל דרכים אחרות אולי יותר טבעיות יותר מחוברות לנשיות ולגוף? למשל 'שיטת המודעות לפוריות'.
למידע נוסף ודרכי טיפול במצבים רגשיים היכנסו
היי לך.. אני משקיע שעות רבות כל יום באיתור ותרגום מאמרים כדי לספק לכולם את המידע העדכני ביותר, לבריאות טובה בדרך הטבע. וכדי שאוכל להמשיך לספק את המידע ולתחזק את האתר. כל תרומה, גדולה או קטנה תהיה לעזר רב. לתרומה נוחה ופשוטה דרך Pay Pal.
מוזמנים להזין דוא"ל למטה כדי להתעדכן ראשונים




כתיבת תגובה